欠損部を補う方法

欠損部を補う方法は大きく分けて3つあります。

1)インプラント

インプラント
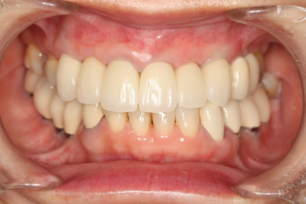
Before
After

歯のない部分をチタン製の人工歯根を使って歯を作る方法です。
失った歯を人工的に作り直すため、今までの天然の歯とほぼ同じように噛めるようになります。見た目も天然の歯のように回復することもできます。


2)ブリッジ

ブリッジ
ブリッジ写真

歯のない部分の両隣の歯を削って、両隣の歯と繋げた被せ物(ブリッジ)をつけることで噛み合わせを回復する方法です。
むし歯ではない歯を削らなければならないこと、噛む力が両隣の歯に負担がかかってしまうことが欠点です。


3)入れ歯

義歯
義歯写真

歯のない部分をばねを使って両隣の歯にひっかけて噛み合わせを回復する方法です。
ばねのかけられた歯は揺さぶられるような動きを受けるため、大きな負担となります。また、ばねが掛かるため、見た目も悪く、比較的軟らかい食べ物しか噛めなくなります。

参照 https://ms-dental.com/implant/about.html



著者経歴

大科 英和

大科英和

  • 2003年3月 新潟大学歯学部 卒
  • 2007年3月 東京医科歯科大学大学院 卒
  • 2007年4月 千葉がんセンター麻酔科医員
  • 2007年10月 東京医科歯科大学顎口腔外科医員
  • 2008年4月 エムズ歯科クリニック祐天寺 院長
  • 2016年10月 エムズ歯科クリニック 学術就任