小児期特有のこと

子供の歯磨き

子供の歯磨きについて、わからないこと多いですよね。

まずいつから歯は磨く?どうやって磨く?嫌がったときはどうする?歯磨き粉は使う?など。それぞれご説明をしていきます。

まず、歯磨きを始める時期ですが、歯が生えたらもう歯磨きが必要です。生後6か月ごろ、小さな前歯が生えてきますが、こんなに小さな歯も歯である以上、歯磨きをしなければ虫歯になってしまいます。歯ブラシが使用できるなら歯ブラシでとっても軽い力で優しく磨き、嫌がる場合は無理には使わず、ガーゼで汚れを優しく拭きましょう。

この時から歯磨き粉を使っても大丈夫です。むしろ歯磨き粉には歯を強くするフッ素が入っているものがほとんどですので、乳歯を虫歯から守るためにフッ素入りの歯磨き粉の使用をおすすめします。しかし、始めは必ずうがいが不要なものにしましょう。うがいは大体2~4歳でできるようになります。

少しずつ歯ブラシに慣れてもらい、3歳ごろには自分でも歯磨きができるようになります。また、うがいもそろそろできるようになります。お子さん本人の歯みがきと親御さんの仕上げ磨きで、しっかり磨きましょう。

仕上げ磨きは6歳ごろまでは必要です。仕上げ磨きをしなくなった後も、子供一人だと歯磨きが上手にできない場合もあるので、チェックしてあげてくださいね♪


いつから歯科医院に行く?

歯が生え始めたら、歯科医院に半年に1度ほどは検診に行くようにしましょう。虫歯がないか、汚れがたまっていないかをチェックしたり、歯磨きの仕方など気になることを相談したりすることもできます。

いつから歯科医院に行く?

また、子供にとってやはり歯医者は怖いもの。虫歯で痛くなった時に初めて行くと怖がって治療ができないということはよくあります。昔は嫌がっても押さえつけて無理に治療をするという時代もあり、そうなると歯医者に対するトラウマが生まれ、大人になっても歯医者に行けなくなってしまい、適切な治療を受けられず、歯を若くして失ってしまったという方もおられます。なので、小さなころから歯医者さんへ定期的に通い、慣れておくことも大切です。

とはいえ、6歳くらいまでは治療がスムーズにできないことがほとんどです。それまでに虫歯ができてしまった場合は、子供に歯医者への苦手意識を植え付けないようにできる限り安心しながら治療を受けてもらえるよう工夫をします。虫歯で痛みが強くない場合は、いきなり治療をするのではなく、まず歯医者の機械に慣れてもらうためのトレーニングを行う場合もあります。

できる限り歯医者さんへの苦手意識が生まれないように、がんばります。


お口の怪我をした時(外傷)

遊び盛りの子供には怪我が付き物ですが…特に歩き始める1歳前後や、たくさん遊ぶ小学生のお子さんは転んだり、ぶつけたりということがよく起こります。特に子供の場合は大人に比べると頭に対して体が小さいことや、受け身を上手に取れないことから、お顔をけがしてしまう場合が多いです。その中で、唇や舌をけがしてしまったり、歯を打ってしまったりすることも多くあります。その場合は歯医者や口腔外科の受診が必要です。

まず、唇や舌のけがについてです。浅い傷であれば、消毒をして様子をみます。お口の粘膜は治りも早いので、清潔を保っていれば、治癒していきます。しかし、傷が深い場合は糸で縫う必要がある場合があります。また、さらに深く傷が筋肉まで及ぶ場合は、口腔外科というお口周りの手術を専門とする大学病院などの診療科に行っていただいて、特別な縫い方をしないといけない場合もあります。

次に歯を打ったり、歯が抜けたりしてしまった場合です。歯を打っても、特に揺れたり強く痛んだりしていない場合は様子を見ます。半年は様子を見て、何事も起こらなければ治療は特に必要ありませんが、様子を見ている間に、歯が黒っぽく変色する、強い痛みがある、歯茎が腫れるなどの症状が出た場合は、歯の神経に異常が起きてしまっています。その場合には、放置すると歯の神経がどんどん腐ってしまうので、腐った神経を取り除く治療が必要です。また、歯が揺れてしまった場合は隣の歯とワイヤーや接着剤で固定をします。

歯が抜けてしまった場合は、抜けた歯を歯医者さんに持っていきましょう。元の位置に戻せる場合があります。

ただ、抜けてしまった後、歯が乾燥してしまうと歯の根の周りの歯根膜という組織が死んでしまい、戻せなくなってしまいます。なので、湿らせておく必要があるのですが、水道水に入れても歯根膜が死んでしまう可能性があります。一番いいのは生理食塩水や専門の保存液ですが、手元にない場合がほとんどだと思います。その代わりとして使えるのが牛乳です。牛乳もすぐ手に入らない場合は、口の中に優しく入れて唾液で乾燥させないようにしてください。その際、歯に土や汚れがついていて、口の中に入れづらい場合は、少しだけ優しく水道水で洗いましょう。

歯が抜けてしまった時の応急処置の代替に牛乳

また、歯が欠けてしまった場合も欠けた欠片を歯医者さんに持っていきましょう。欠片をもとの位置に接着剤でつけられる場合があります。
ただ、あまりに大きく折れてしまった場合は、治療が難しく、抜歯が必要になる場合もあります。


シーラントについて

みなさまシーラントをご存じでしょうか?

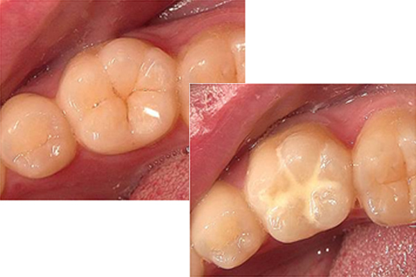
シーラントとは、乳歯や生えたての永久歯を虫歯から守るための予防処置です。虫歯になりやすい部分は、歯の溝、歯と歯茎の間、歯と歯の間です。中でも乳歯や生えたての永久歯の場合、歯の溝から虫歯になりやすいです。大人の歯は使っていくうちに、歯がすり減って溝が浅くなり、溝に入り込んだ虫歯菌を取り除きやすくなるのですが、生えたての歯は溝が深く、溝の中に虫歯菌が入るとなかなか磨けません。ならば、虫歯菌が入っちゃう前に溝を材料で埋めちゃおう!と考えたのがシーラントです。右の図のように溝に材料を埋めることで菌が溝に入り込まなくなり、虫歯の予防ができます。シーラントとフッ素を併用することで、高い虫歯予防効果が得られますので、奥歯が生えてきたタイミングでシーラントをするのがおすすめです。

シーラント


著者経歴

野澤 賢之

野澤賢之

  • 1998年 東京科学大学歯学部 卒
  • 2005年 エムズ歯科クリニック東中野 勤務