小児矯正
歯並びが悪くなる理由
歯並びが悪くなる理由はご存じでしょうか?遺伝というイメージが強いですが、実はそうではないと言われています。
歯並びは、遺伝子だけでなく、生まれた後の歯並びの「環境」で決まります。
歯並びにとっての「環境」が何を指すかというと、「お口周りの筋肉の使い方」です。舌や唇や頬などの筋肉です。ところで、ワイヤーやマウスピースでの矯正治療の際、歯にどれくらいの力をかけて、歯並びを変化させるのでしょうか?下の前歯1本にかかる力は、2g、約1円玉2枚分です。下の前歯は2gの力を6時間以上かけると動き出します。
一方で、舌の力は500g、唇の力は100~300gです。ずっとそれらが歯の周りにありますので、歯並びに影響を及ぼすのです。また、それは歯並びだけでなく、顎の骨の成長にも影響を及ぼします。写真のように一卵性双生児でも、お顔立ちが異なる場合があります。それでは、どのような筋肉の使い方だと、歯並びが悪くなるのでしょうか?
お口の筋肉の正しい使い方
歯並びが悪くなるようなお口の筋肉の使い方、悪い習慣として、以下の4点が代表的なものです。
2. 舌の位置が正しい位置に無いこと。右の図の位置が舌の正常な位置です。
3. 唇を閉じていないこと。お口ぽかん。
4. 舌以外の筋肉を使ったり、舌を突き出したりする正しくない飲み込み方。
これら以外にも指しゃぶりや、普段の姿勢、寝ている間の姿勢なども関わります。これらの癖を大人になって直しても、もう顎の成長が終わってしまっているため、歯を並べることはできません。(矯正治療後の後戻りを抑えることはできます)そのため、顎が成長途中である6~8歳の間に正しいお口の使い方を覚え、顎の成長を良い方向へ導いていくことが重要です。
小児予防矯正
歯を並べることだけでなく、お口の筋肉の使い方という歯並びが悪くなる原因そのものに着目した治療が当院で実施している、「小児予防矯正」です。「小児予防矯正」というように、対象はお子さんに限られます。大人は顎の骨の成長が終わっているので、この治療では効果が望めません。とはいえ、大人でも矯正をしている人はたくさんいますよね。大人でする矯正治療と比較した「小児予防矯正」のメリットについて、ご説明させていただきます。
1. 歯を抜いたり削ったりする必要がない
ガタガタに重なった歯を並べるにはスペースが必要です。大人になってからだと顎の骨をそれ以上成長させることができないので、歯を抜いたり削ったりして、そのスペースを作ります。一方、小児予防矯正では、顎の骨の成長にアプローチができるので、その必要がないことが多いのです。
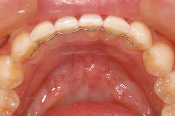
2. 後戻りが少ない
また、大人になって、ワイヤーやマウスピースの力で歯を動かして歯並びを改善した場合、歯は必ず元の場所に戻ろうとします。それを防ぐために、「保定装置」をいう装置を使っていただく必要があります。右の写真のようなワイヤーやマウスピースの装置です。一方、小児予防矯正では歯並びが悪くなる原因そのものを治す治療なので、後戻りが起こりにくく、保定装置もほとんど必要ありません。
3. お顔立ちの変化
このイラストは同一人物です。左の子は上顎の成長量が少なく、いわゆる受け口になっています。しかし、小児予防矯正で、顎の骨の成長そのものから歯並びを良くしてあげることで、横顔の印象も右のように変わります。
大人になってからこのような効果を得るには、顎の骨を外科的に切って、ボルトで止める大掛かりな手術が必要になります。
全身の健康
顎の骨の成長を良い方向へ導くことで、全身の健康も改善します。顎の骨の成長と気道は深い関わりがあり、呼吸が改善することは、全身の健康へ繋がるのです。大人になってからの抜歯を伴う矯正では、むしろ気道が狭くなることが分かっています。大人になってからの矯正ももちろんできますが、以上のように、子供のうちに治療をすることはいろいろなメリットがあります。子供と言っても顎の成長にアプローチできるのは遅くても10歳ほど。子供の歯並びが気になるという場合は、いつでも気軽にご相談くださいね。
- 5. タイミングを逃したくない、子供の歯科治療
- 5.1 成長発育 顎の成長と全身の健康
- 5.2 顎の成長と全身の健康
- 5.3 歯の萌出
- 5.4 乳歯が虫歯になったら
- 5.5 保隙装置って?
- 5.6 小児期特有のこと
- 5.7 小児矯正
著者経歴
野澤 賢之

- 1998年 東京医科歯科大学歯学部 卒業
- 2005年 エムズ歯科クリニック東中野 勤務
[主な所属・役職]
- 厚生労働省認定歯科医師 臨床研修指導歯科医
- ICOI(International Congress of Oral Implantologists)指導医
- 日本歯科審美学会 会員
- 日本臨床歯科CADCAM学会 会員